技術支持Technical Support
聯系我們CONTACT US
18225607483
24小時服務熱線
355185756@qq.com銷售郵箱
免疫組化IHC染色實驗結果解讀
來源:德爾夫生物 發布時間:2021-10-21
2019~2020年,我國首先爆發了新冠肺炎疫情,如今國際疫情蔓延給我國帶來了新的風險和挑戰,針對新冠肺炎的研究也在不斷開展,在首例新冠危重癥患者肺活檢病理報告中用到了HE、IHC染色技術來判斷患者肺部的結構變化;研究報告中選取的多個CD指標結果均呈陽性,那么為什么選取CD指標呢?是因為CD系列抗原是與免疫系統緊密相關,通過免疫組化的陽性結果有助于我們了解新冠肺炎的發病機理和防御過程,在其他疾病中也是如此,可見免疫組化技術在臨床應用過程中的重要性,今天要講的就是這個免疫組織化學染色技術。
什么是免疫組化?免疫組化是免疫組織化學,是指帶顯色劑標記的特異性抗體在組織原位通過抗原抗體反應和組織化學的呈色反應,對相應抗原進行定性、定位、定量測定的一項技術。
當我們需要檢測一個抗原,用特定的一抗組織結合,然后用帶有標記物的二抗與一抗結合,通過呈色反應讓我們直觀的觀察到。免疫組化具有特異性強、靈敏度高、定位準確等特點。
開篇講到免疫組化在新冠肺炎研究中的部分運用,實際上免疫組化的應用非常廣泛,它包括但不限于以下4個方面:
1、疾病診斷;2、腫瘤類型辨別;3、腫瘤程度評價;4、腫瘤預后判斷。
相關應用舉例與實驗步驟詳解會在視頻教程中給大家一一講解;
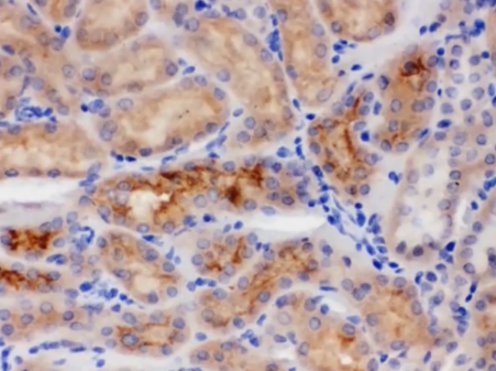
關于免疫組化染色結果解讀有兩個基本原則:一是染色符合預期;二是對照符合預期。
1、染色部位符合預期
(1)細胞陽性——根據靶抗原不同而呈現胞膜型、胞漿型或胞核型
(2)間質陽性——表現為細胞外著色,局限性或彌散性
2、染色狀態符合預期
(1)陽性細胞的染色分布不均,片狀或點狀散在分布;
(2)染色強弱不等,顏色深淺反映抗原量的多少;
(3)DAB顯色在高倍鏡下呈顆粒狀而非均勻著色。
3、對照符合預期






